Un estudio eleva los falsos positivos en el cribado de cáncer de pulmón al 18%
Estas pruebas de diagnóstico precoz no han demostrado ser costo-eficaces

Existen programas de cribado (diagnóstico precoz a gran escala) que cuentan con el consenso de la comunidad científica respecto a su utilidad. El ejemplo más claro son las mamografías en el caso del cáncer de mama o las citologías en el de cérvix. En los tumores de colon, cada vez hay más acuerdo sobre la detección de sangre en heces en población entre 50 y 69 años, una prueba que ya han implantado varias autonomías. Pero respecto al cáncer de pulmón, hay bastantes más dudas de si resultaría una medida coste-eficaz practicar TAC (tomografía axial computerizada) a fumadores intensivos respecto a los beneficios que puede aportar.
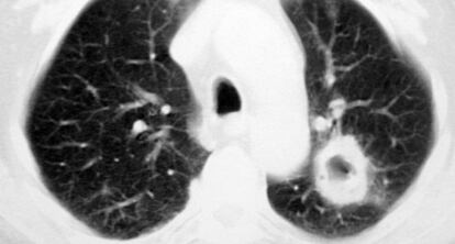
Un estudio publicado este lunes por el Journal of American Medical Association (JAMA) Internal Medicine añade argumentos (en contra) a este debate. El trabajo alerta del elevado porcentaje de falsos positivos: un 18% a partir de la revisión efectuada en 53.452 estudios con tomografía computerizada de baja dosis.
La investigación, dirigida por Edward Patz de la Duke University Medical Center (Durham, Carolina del Norte), advierte del riesgo que conlleva el sobrediagnóstico y su “daño potencial” tanto debido al coste adicional de recursos que supone la intervención quirúrgica del paciente como por la ansiedad que provoca el diagnóstico y el paso por el quirófano del supuesto enfermo, sin olvidar las complicaciones asociadas con el tratamiento innecesario que conlleva la detección de un cáncer”.
Es cierto que estas pruebas diagnósticas tienen su cara positiva. El cribado se dirige a detectar el tumor antes de que muestre síntomas, lo que es especialmente importante en una neoplasia como la de pulmón, que suele dar la cara en estadios avanzados, cuando es mucho más difícil de tratar. En personas con un historial de entre 40 y 50 años consumiendo un paquete al día, la prueba con TAC permite una reducción de la mortalidad del 16% entre estos pacientes, según apunta Bartomeu Massuti, secretario del Grupo Español de Cáncer de Pulmón (GECP).
En esta población, en un 20% de los casos se detectan nódulos pequeños (de 5 a 10 milímetros) que suelen acabar en el quirófano. Pero de ellos, en torno a otro 20% -como refleja el estudio presentado este lunes- serían falsos positivos, como apunta Massuti. Y aquí está el problema, ya que es una cifra “excesiva”, comenta el también jefe de servicio de oncología del Hospital General de Alicante.
“Faltan estudios de coste-efectividad”, explica Massuti, pero también afinar los criterios para que resulte una medida diagnóstica que aporte un beneficio claro. Por ejemplo, respecto al diámetro a partir del cual hay que prestar atención a los nódulos, o para fijar los periodos de control para el seguimiento de las lesiones más pequeñas y detectar su ritmo de crecimiento. Quizás entonces se extienda un diagnóstico que, de momento, no se ofrece de forma generalizada en ningún sistema sanitario europeo.
Tu suscripción se está usando en otro dispositivo
¿Quieres añadir otro usuario a tu suscripción?
Si continúas leyendo en este dispositivo, no se podrá leer en el otro.
FlechaTu suscripción se está usando en otro dispositivo y solo puedes acceder a EL PAÍS desde un dispositivo a la vez.
Si quieres compartir tu cuenta, cambia tu suscripción a la modalidad Premium, así podrás añadir otro usuario. Cada uno accederá con su propia cuenta de email, lo que os permitirá personalizar vuestra experiencia en EL PAÍS.
¿Tienes una suscripción de empresa? Accede aquí para contratar más cuentas.
En el caso de no saber quién está usando tu cuenta, te recomendamos cambiar tu contraseña aquí.
Si decides continuar compartiendo tu cuenta, este mensaje se mostrará en tu dispositivo y en el de la otra persona que está usando tu cuenta de forma indefinida, afectando a tu experiencia de lectura. Puedes consultar aquí los términos y condiciones de la suscripción digital.




























































